import torch
from fastai.vision.all import *
import cv2 as cv
import fastbook
from fastbook import *
from fastai.vision.widgets import *
import os
from pytorch_grad_cam import GradCAM, HiResCAM, ScoreCAM, GradCAMPlusPlus, AblationCAM, XGradCAM, EigenCAM, FullGrad, EigenGradCAM, LayerCAM
from pytorch_grad_cam.utils.model_targets import ClassifierOutputTarget
import torchvision
from torchvision.models import resnet18
import torch.nn as nn
import matplotlib.pyplot as plt
from PIL import Image
from torchvision.models import resnet50scorecam nan 값 산출 문제찾는 중..
Import
Data
refer : https://www.kaggle.com/paultimothymooney/chest-xray-pneumonia
# path=Path('./home/Dropbox/chest_xray/chest_xray')
path = Path(os.path.expanduser(os.path.join('~', 'Dropbox/chest_xray/chest_xray')))path.ls()(#3) [Path('/home/csy/Dropbox/chest_xray/chest_xray/train'),Path('/home/csy/Dropbox/chest_xray/chest_xray/test'),Path('/home/csy/Dropbox/chest_xray/chest_xray/val')]
files=get_image_files(path)dls = ImageDataLoaders.from_folder(path, train='train', valid_pct=0.2, item_tfms=Resize(224)) dls.vocab['NORMAL', 'PNEUMONIA']
dls.show_batch(max_n=16)
model = resnet34(pretrained=True)
target_layer = [model.layer4[-1]]
gradcam = GradCAM(model=model, target_layers=target_layer)/home/csy/anaconda3/envs/temp_csy/lib/python3.8/site-packages/torchvision/models/_utils.py:208: UserWarning: The parameter 'pretrained' is deprecated since 0.13 and may be removed in the future, please use 'weights' instead.
warnings.warn(
/home/csy/anaconda3/envs/temp_csy/lib/python3.8/site-packages/torchvision/models/_utils.py:223: UserWarning: Arguments other than a weight enum or `None` for 'weights' are deprecated since 0.13 and may be removed in the future. The current behavior is equivalent to passing `weights=ResNet34_Weights.IMAGENET1K_V1`. You can also use `weights=ResNet34_Weights.DEFAULT` to get the most up-to-date weights.
warnings.warn(msg)
model = resnet34(pretrained=True)
target_layer = [model.layer4[-1]]
hirescam = HiResCAM(model=model, target_layers=target_layer)model = resnet34(pretrained=True)
target_layer = [model.layer4[-1]]
scorecam = ScoreCAM(model=model, target_layers=target_layer)model = resnet34(pretrained=True)
target_layer = [model.layer4[-1]]
gradcamplusplus = GradCAMPlusPlus(model=model, target_layers=target_layer)model = resnet34(pretrained=True)
target_layer = [model.layer4[-1]]
ablationcam = AblationCAM(model=model, target_layers=target_layer)model = resnet34(pretrained=True)
target_layer = [model.layer4[-1]]
xgradcam = XGradCAM(model=model, target_layers=target_layer)model = resnet34(pretrained=True)
target_layer = [model.layer4[-1]]
eigencam = EigenCAM(model=model, target_layers=target_layer)model = resnet34(pretrained=True)
target_layer = [model.layer4[-1]]
fullgrad = FullGrad(model=model, target_layers=target_layer)Warning: target_layers is ignored in FullGrad. All bias layers will be used instead
model = resnet34(pretrained=True)
target_layer = [model.layer4[-1]]
eigengradcam = EigenGradCAM(model=model, target_layers=target_layer)model = resnet34(pretrained=True)
target_layer = [model.layer4[-1]]
layercam = LayerCAM(model=model, target_layers=target_layer)1번째 시도
img = PILImage.create(get_image_files(path)[304])x, = first(dls.test_dl([img])) #이미지 텐서화
x = x.to('cpu')cam_gradcam = gradcam(input_tensor=x,targets=None)cam_hirescam = hirescam(input_tensor=x,targets=None)cam_scorecam = scorecam(input_tensor=x,targets=None)100%|██████████| 32/32 [00:03<00:00, 9.20it/s]
cam_gradcamplusplus = gradcamplusplus(input_tensor=x,targets=None)cam_ablationcam = ablationcam(input_tensor=x,targets=None)100%|██████████| 16/16 [00:03<00:00, 4.14it/s]
cam_xgradcam = xgradcam(input_tensor=x,targets=None)cam_eigencam = eigencam(input_tensor=x,targets=None)cam_fullgrad = fullgrad(input_tensor=x,targets=None)cam_eigengradcam = eigengradcam(input_tensor=x,targets=None)cam_layercam = layercam(input_tensor=x,targets=None)fig, (ax1,ax2) = plt.subplots(1,2)
dls.train.decode((x,))[0].squeeze().show(ax=ax1)
ax1.imshow(-cam_gradcam.squeeze(),alpha=0.5,extent=(0,224,224,0),interpolation='bilinear',cmap='cool')
ax1.set_title("NORMAL PART GradCAM")
#
dls.train.decode((x,))[0].squeeze().show(ax=ax2)
ax2.imshow(cam_gradcam.squeeze(),alpha=0.5,extent=(0,224,224,0),interpolation='bilinear',cmap='cool')
ax2.set_title("DISEASE PART GradCAM")
#
fig.set_figwidth(8)
fig.set_figheight(8)
fig.tight_layout()
fig, (ax1,ax2) = plt.subplots(1,2)
dls.train.decode((x,))[0].squeeze().show(ax=ax1)
ax1.imshow(-cam_hirescam.squeeze(),alpha=0.5,extent=(0,224,224,0),interpolation='bilinear',cmap='cool')
ax1.set_title("NORMAL PART HiResCAM")
#
dls.train.decode((x,))[0].squeeze().show(ax=ax2)
ax2.imshow(cam_hirescam.squeeze(),alpha=0.5,extent=(0,224,224,0),interpolation='bilinear',cmap='cool')
ax2.set_title("DISEASE PART HiResCAM")
#
fig.set_figwidth(8)
fig.set_figheight(8)
fig.tight_layout()
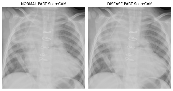
fig, (ax1,ax2) = plt.subplots(1,2)
dls.train.decode((x,))[0].squeeze().show(ax=ax1)
ax1.imshow(-cam_scorecam.squeeze(),alpha=0.5,extent=(0,224,224,0),interpolation='bilinear',cmap='cool')
ax1.set_title("NORMAL PART ScoreCAM")
#
dls.train.decode((x,))[0].squeeze().show(ax=ax2)
ax2.imshow(cam_scorecam.squeeze(),alpha=0.5,extent=(0,224,224,0),interpolation='bilinear',cmap='cool')
ax2.set_title("DISEASE PART ScoreCAM")
#
fig.set_figwidth(8)
fig.set_figheight(8)
fig.tight_layout()
fig, (ax1,ax2) = plt.subplots(1,2)
dls.train.decode((x,))[0].squeeze().show(ax=ax1)
ax1.imshow(-cam_gradcamplusplus.squeeze(),alpha=0.5,extent=(0,224,224,0),interpolation='bilinear',cmap='cool')
ax1.set_title("NORMAL PART GradCAMPlusPlus")
#
dls.train.decode((x,))[0].squeeze().show(ax=ax2)
ax2.imshow(cam_gradcamplusplus.squeeze(),alpha=0.5,extent=(0,224,224,0),interpolation='bilinear',cmap='cool')
ax2.set_title("DISEASE PART GradCAMPlusPlus")
#
fig.set_figwidth(8)
fig.set_figheight(8)
fig.tight_layout()
fig, (ax1,ax2) = plt.subplots(1,2)
dls.train.decode((x,))[0].squeeze().show(ax=ax1)
ax1.imshow(-cam_ablationcam.squeeze(),alpha=0.5,extent=(0,224,224,0),interpolation='bilinear',cmap='cool')
ax1.set_title("NORMAL PART AblationCAM")
#
dls.train.decode((x,))[0].squeeze().show(ax=ax2)
ax2.imshow(cam_ablationcam.squeeze(),alpha=0.5,extent=(0,224,224,0),interpolation='bilinear',cmap='cool')
ax2.set_title("DISEASE PART AblationCAM")
#
fig.set_figwidth(8)
fig.set_figheight(8)
fig.tight_layout()
fig, (ax1,ax2) = plt.subplots(1,2)
dls.train.decode((x,))[0].squeeze().show(ax=ax1)
ax1.imshow(-cam_xgradcam.squeeze(),alpha=0.5,extent=(0,224,224,0),interpolation='bilinear',cmap='cool')
ax1.set_title("NORMAL PART XGradCAM")
#
dls.train.decode((x,))[0].squeeze().show(ax=ax2)
ax2.imshow(cam_xgradcam.squeeze(),alpha=0.5,extent=(0,224,224,0),interpolation='bilinear',cmap='cool')
ax2.set_title("DISEASE PART XGradCAM")
#
fig.set_figwidth(8)
fig.set_figheight(8)
fig.tight_layout()
fig, (ax1,ax2) = plt.subplots(1,2)
dls.train.decode((x,))[0].squeeze().show(ax=ax1)
ax1.imshow(-cam_eigencam.squeeze(),alpha=0.5,extent=(0,224,224,0),interpolation='bilinear',cmap='cool')
ax1.set_title("NORMAL PART EigenCAM")
#
dls.train.decode((x,))[0].squeeze().show(ax=ax2)
ax2.imshow(cam_eigencam.squeeze(),alpha=0.5,extent=(0,224,224,0),interpolation='bilinear',cmap='cool')
ax2.set_title("DISEASE PART EigenCAM")
#
fig.set_figwidth(8)
fig.set_figheight(8)
fig.tight_layout()
fig, (ax1,ax2) = plt.subplots(1,2)
dls.train.decode((x,))[0].squeeze().show(ax=ax1)
ax1.imshow(-cam_fullgrad.squeeze(),alpha=0.5,extent=(0,224,224,0),interpolation='bilinear',cmap='cool')
ax1.set_title("NORMAL PART FullGrad")
#
dls.train.decode((x,))[0].squeeze().show(ax=ax2)
ax2.imshow(cam_fullgrad.squeeze(),alpha=0.5,extent=(0,224,224,0),interpolation='bilinear',cmap='cool')
ax2.set_title("DISEASE PART FullGrad")
#
fig.set_figwidth(8)
fig.set_figheight(8)
fig.tight_layout()
fig, (ax1,ax2) = plt.subplots(1,2)
dls.train.decode((x,))[0].squeeze().show(ax=ax1)
ax1.imshow(-cam_layercam.squeeze(),alpha=0.5,extent=(0,224,224,0),interpolation='bilinear',cmap='cool')
ax1.set_title("NORMAL PART LayerCAM")
#
dls.train.decode((x,))[0].squeeze().show(ax=ax2)
ax2.imshow(cam_layercam.squeeze(),alpha=0.5,extent=(0,224,224,0),interpolation='bilinear',cmap='cool')
ax2.set_title("DISEASE PART LayerCAM")
#
fig.set_figwidth(8)
fig.set_figheight(8)
fig.tight_layout()
2번째 시도
img = PILImage.create(get_image_files(path)[3031])x, = first(dls.test_dl([img])) #이미지 텐서화
x=x.to('cpu')cam_gradcam = gradcam(input_tensor=x,targets=None)cam_hirescam = hirescam(input_tensor=x,targets=None)cam_scorecam = scorecam(input_tensor=x,targets=None)100%|██████████| 32/32 [00:03<00:00, 9.06it/s]
cam_gradcamplusplus = gradcamplusplus(input_tensor=x,targets=None)cam_ablationcam = ablationcam(input_tensor=x,targets=None)100%|██████████| 16/16 [00:03<00:00, 4.18it/s]
cam_xgradcam = xgradcam(input_tensor=x,targets=None)cam_eigencam = eigencam(input_tensor=x,targets=None)cam_fullgrad = fullgrad(input_tensor=x,targets=None)cam_eigengradcam = eigengradcam(input_tensor=x,targets=None)cam_cat_layercam = layercam(input_tensor=x,targets=None)fig, (ax1,ax2) = plt.subplots(1,2)
dls.train.decode((x,))[0].squeeze().show(ax=ax1)
ax1.imshow(-cam_gradcam.squeeze(),alpha=0.5,extent=(0,224,224,0),interpolation='bilinear',cmap='cool')
ax1.set_title("NORMAL PART GradCAM")
#
dls.train.decode((x,))[0].squeeze().show(ax=ax2)
ax2.imshow(cam_gradcam.squeeze(),alpha=0.5,extent=(0,224,224,0),interpolation='bilinear',cmap='cool')
ax2.set_title("DISEASE PART GradCAM")
#
fig.set_figwidth(8)
fig.set_figheight(8)
fig.tight_layout()
fig, (ax1,ax2) = plt.subplots(1,2)
dls.train.decode((x,))[0].squeeze().show(ax=ax1)
ax1.imshow(-cam_hirescam.squeeze(),alpha=0.5,extent=(0,224,224,0),interpolation='bilinear',cmap='cool')
ax1.set_title("NORMAL PART HiResCAM")
#
dls.train.decode((x,))[0].squeeze().show(ax=ax2)
ax2.imshow(cam_hirescam.squeeze(),alpha=0.5,extent=(0,224,224,0),interpolation='bilinear',cmap='cool')
ax2.set_title("DISEASE PART HiResCAM")
#
fig.set_figwidth(8)
fig.set_figheight(8)
fig.tight_layout()
fig, (ax1,ax2) = plt.subplots(1,2)
dls.train.decode((x,))[0].squeeze().show(ax=ax1)
ax1.imshow(-cam_scorecam.squeeze(),alpha=0.5,extent=(0,224,224,0),interpolation='bilinear',cmap='cool')
ax1.set_title("NORMAL PART ScoreCAM")
#
dls.train.decode((x,))[0].squeeze().show(ax=ax2)
ax2.imshow(cam_scorecam.squeeze(),alpha=0.5,extent=(0,224,224,0),interpolation='bilinear',cmap='cool')
ax2.set_title("DISEASE PART ScoreCAM")
#
fig.set_figwidth(8)
fig.set_figheight(8)
fig.tight_layout()
fig, (ax1,ax2) = plt.subplots(1,2)
dls.train.decode((x,))[0].squeeze().show(ax=ax1)
ax1.imshow(-cam_gradcamplusplus.squeeze(),alpha=0.5,extent=(0,224,224,0),interpolation='bilinear',cmap='cool')
ax1.set_title("NORMAL PART GradCAMPlusPlus")
#
dls.train.decode((x,))[0].squeeze().show(ax=ax2)
ax2.imshow(cam_gradcamplusplus.squeeze(),alpha=0.5,extent=(0,224,224,0),interpolation='bilinear',cmap='cool')
ax2.set_title("DISEASE PART GradCAMPlusPlus")
#
fig.set_figwidth(8)
fig.set_figheight(8)
fig.tight_layout()
fig, (ax1,ax2) = plt.subplots(1,2)
dls.train.decode((x,))[0].squeeze().show(ax=ax1)
ax1.imshow(-cam_ablationcam.squeeze(),alpha=0.5,extent=(0,224,224,0),interpolation='bilinear',cmap='cool')
ax1.set_title("NORMAL PART AblationCAM")
#
dls.train.decode((x,))[0].squeeze().show(ax=ax2)
ax2.imshow(cam_ablationcam.squeeze(),alpha=0.5,extent=(0,224,224,0),interpolation='bilinear',cmap='cool')
ax2.set_title("DISEASE PART AblationCAM")
#
fig.set_figwidth(8)
fig.set_figheight(8)
fig.tight_layout()
fig, (ax1,ax2) = plt.subplots(1,2)
dls.train.decode((x,))[0].squeeze().show(ax=ax1)
ax1.imshow(-cam_xgradcam.squeeze(),alpha=0.5,extent=(0,224,224,0),interpolation='bilinear',cmap='cool')
ax1.set_title("NORMAL PART XGradCAM")
#
dls.train.decode((x,))[0].squeeze().show(ax=ax2)
ax2.imshow(cam_xgradcam.squeeze(),alpha=0.5,extent=(0,224,224,0),interpolation='bilinear',cmap='cool')
ax2.set_title("DISEASE PART XGradCAM")
#
fig.set_figwidth(8)
fig.set_figheight(8)
fig.tight_layout()
fig, (ax1,ax2) = plt.subplots(1,2)
dls.train.decode((x,))[0].squeeze().show(ax=ax1)
ax1.imshow(-cam_eigencam.squeeze(),alpha=0.5,extent=(0,224,224,0),interpolation='bilinear',cmap='cool')
ax1.set_title("NORMAL PART EigenCAM")
#
dls.train.decode((x,))[0].squeeze().show(ax=ax2)
ax2.imshow(cam_eigencam.squeeze(),alpha=0.5,extent=(0,224,224,0),interpolation='bilinear',cmap='cool')
ax2.set_title("DISEASE PART EigenCAM")
#
fig.set_figwidth(8)
fig.set_figheight(8)
fig.tight_layout()
fig, (ax1,ax2) = plt.subplots(1,2)
dls.train.decode((x,))[0].squeeze().show(ax=ax1)
ax1.imshow(-cam_fullgrad.squeeze(),alpha=0.5,extent=(0,224,224,0),interpolation='bilinear',cmap='cool')
ax1.set_title("NORMAL PART FullGrad")
#
dls.train.decode((x,))[0].squeeze().show(ax=ax2)
ax2.imshow(cam_fullgrad.squeeze(),alpha=0.5,extent=(0,224,224,0),interpolation='bilinear',cmap='cool')
ax2.set_title("DISEASE PART FullGrad")
#
fig.set_figwidth(8)
fig.set_figheight(8)
fig.tight_layout()
fig, (ax1,ax2) = plt.subplots(1,2)
dls.train.decode((x,))[0].squeeze().show(ax=ax1)
ax1.imshow(-cam_layercam.squeeze(),alpha=0.5,extent=(0,224,224,0),interpolation='bilinear',cmap='cool')
ax1.set_title("NORMAL PART LayerCAM")
#
dls.train.decode((x,))[0].squeeze().show(ax=ax2)
ax2.imshow(cam_layercam.squeeze(),alpha=0.5,extent=(0,224,224,0),interpolation='bilinear',cmap='cool')
ax2.set_title("DISEASE PART LayerCAM")
#
fig.set_figwidth(8)
fig.set_figheight(8)
fig.tight_layout()
3번째 시도
img = PILImage.create(get_image_files(path)[3107])x, = first(dls.test_dl([img])) #이미지 텐서화
x=x.to('cpu')cam_gradcam = gradcam(input_tensor=x,targets=None)cam_hirescam = hirescam(input_tensor=x,targets=None)cam_scorecam = scorecam(input_tensor=x,targets=None)100%|██████████| 32/32 [00:03<00:00, 9.22it/s]
cam_gradcamplusplus = gradcamplusplus(input_tensor=x,targets=None)cam_ablationcam = ablationcam(input_tensor=x,targets=None)100%|██████████| 16/16 [00:03<00:00, 4.23it/s]
cam_xgradcam = xgradcam(input_tensor=x,targets=None)cam_eigencam = eigencam(input_tensor=x,targets=None)cam_fullgrad = fullgrad(input_tensor=x,targets=None)cam_eigengradcam = eigengradcam(input_tensor=x,targets=None)cam_cat_layercam = layercam(input_tensor=x,targets=None)fig, (ax1,ax2) = plt.subplots(1,2)
dls.train.decode((x,))[0].squeeze().show(ax=ax1)
ax1.imshow(-cam_gradcam.squeeze(),alpha=0.5,extent=(0,224,224,0),interpolation='bilinear',cmap='cool')
ax1.set_title("NORMAL PART GradCAM")
#
dls.train.decode((x,))[0].squeeze().show(ax=ax2)
ax2.imshow(cam_gradcam.squeeze(),alpha=0.5,extent=(0,224,224,0),interpolation='bilinear',cmap='cool')
ax2.set_title("DISEASE PART GradCAM")
#
fig.set_figwidth(8)
fig.set_figheight(8)
fig.tight_layout()
fig, (ax1,ax2) = plt.subplots(1,2)
dls.train.decode((x,))[0].squeeze().show(ax=ax1)
ax1.imshow(-cam_hirescam.squeeze(),alpha=0.5,extent=(0,224,224,0),interpolation='bilinear',cmap='cool')
ax1.set_title("NORMAL PART HiResCAM")
#
dls.train.decode((x,))[0].squeeze().show(ax=ax2)
ax2.imshow(cam_hirescam.squeeze(),alpha=0.5,extent=(0,224,224,0),interpolation='bilinear',cmap='cool')
ax2.set_title("DISEASE PART HiResCAM")
#
fig.set_figwidth(8)
fig.set_figheight(8)
fig.tight_layout()
fig, (ax1,ax2) = plt.subplots(1,2)
dls.train.decode((x,))[0].squeeze().show(ax=ax1)
ax1.imshow(-cam_scorecam.squeeze(),alpha=0.5,extent=(0,224,224,0),interpolation='bilinear',cmap='cool')
ax1.set_title("NORMAL PART ScoreCAM")
#
dls.train.decode((x,))[0].squeeze().show(ax=ax2)
ax2.imshow(cam_scorecam.squeeze(),alpha=0.5,extent=(0,224,224,0),interpolation='bilinear',cmap='cool')
ax2.set_title("DISEASE PART ScoreCAM")
#
fig.set_figwidth(8)
fig.set_figheight(8)
fig.tight_layout()
fig, (ax1,ax2) = plt.subplots(1,2)
dls.train.decode((x,))[0].squeeze().show(ax=ax1)
ax1.imshow(-cam_gradcamplusplus.squeeze(),alpha=0.5,extent=(0,224,224,0),interpolation='bilinear',cmap='cool')
ax1.set_title("NORMAL PART GradCAMPlusPlus")
#
dls.train.decode((x,))[0].squeeze().show(ax=ax2)
ax2.imshow(cam_gradcamplusplus.squeeze(),alpha=0.5,extent=(0,224,224,0),interpolation='bilinear',cmap='cool')
ax2.set_title("DISEASE PART GradCAMPlusPlus")
#
fig.set_figwidth(8)
fig.set_figheight(8)
fig.tight_layout()
fig, (ax1,ax2) = plt.subplots(1,2)
dls.train.decode((x,))[0].squeeze().show(ax=ax1)
ax1.imshow(-cam_ablationcam.squeeze(),alpha=0.5,extent=(0,224,224,0),interpolation='bilinear',cmap='cool')
ax1.set_title("NORMAL PART AblationCAM")
#
dls.train.decode((x,))[0].squeeze().show(ax=ax2)
ax2.imshow(cam_ablationcam.squeeze(),alpha=0.5,extent=(0,224,224,0),interpolation='bilinear',cmap='cool')
ax2.set_title("DISEASE PART AblationCAM")
#
fig.set_figwidth(8)
fig.set_figheight(8)
fig.tight_layout()
fig, (ax1,ax2) = plt.subplots(1,2)
dls.train.decode((x,))[0].squeeze().show(ax=ax1)
ax1.imshow(-cam_xgradcam.squeeze(),alpha=0.5,extent=(0,224,224,0),interpolation='bilinear',cmap='cool')
ax1.set_title("NORMAL PART XGradCAM")
#
dls.train.decode((x,))[0].squeeze().show(ax=ax2)
ax2.imshow(cam_xgradcam.squeeze(),alpha=0.5,extent=(0,224,224,0),interpolation='bilinear',cmap='cool')
ax2.set_title("DISEASE PART XGradCAM")
#
fig.set_figwidth(8)
fig.set_figheight(8)
fig.tight_layout()
fig, (ax1,ax2) = plt.subplots(1,2)
dls.train.decode((x,))[0].squeeze().show(ax=ax1)
ax1.imshow(-cam_eigencam.squeeze(),alpha=0.5,extent=(0,224,224,0),interpolation='bilinear',cmap='cool')
ax1.set_title("NORMAL PART EigenCAM")
#
dls.train.decode((x,))[0].squeeze().show(ax=ax2)
ax2.imshow(cam_eigencam.squeeze(),alpha=0.5,extent=(0,224,224,0),interpolation='bilinear',cmap='cool')
ax2.set_title("DISEASE PART EigenCAM")
#
fig.set_figwidth(8)
fig.set_figheight(8)
fig.tight_layout()
fig, (ax1,ax2) = plt.subplots(1,2)
dls.train.decode((x,))[0].squeeze().show(ax=ax1)
ax1.imshow(-cam_fullgrad.squeeze(),alpha=0.5,extent=(0,224,224,0),interpolation='bilinear',cmap='cool')
ax1.set_title("NORMAL PART FullGrad")
#
dls.train.decode((x,))[0].squeeze().show(ax=ax2)
ax2.imshow(cam_fullgrad.squeeze(),alpha=0.5,extent=(0,224,224,0),interpolation='bilinear',cmap='cool')
ax2.set_title("DISEASE PART FullGrad")
#
fig.set_figwidth(8)
fig.set_figheight(8)
fig.tight_layout()
fig, (ax1,ax2) = plt.subplots(1,2)
dls.train.decode((x,))[0].squeeze().show(ax=ax1)
ax1.imshow(-cam_layercam.squeeze(),alpha=0.5,extent=(0,224,224,0),interpolation='bilinear',cmap='cool')
ax1.set_title("NORMAL PART LayerCAM")
#
dls.train.decode((x,))[0].squeeze().show(ax=ax2)
ax2.imshow(cam_layercam.squeeze(),alpha=0.5,extent=(0,224,224,0),interpolation='bilinear',cmap='cool')
ax2.set_title("DISEASE PART LayerCAM")
#
fig.set_figwidth(8)
fig.set_figheight(8)
fig.tight_layout()